Malattie rare
-
sanità
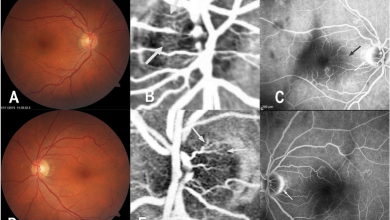
Rilevati in Puglia due casi neonatali a rischio di tumore oculare
Due neonati pugliesi sono stati identificati come a rischio di tumore oculare nelle prime ore di vita grazie ai controlli…
Leggi di più » -
Prima pagina
Ospedale Martina Franca: salvato paziente con Granulomatosi di Wegener
Dialisi d’urgenza e terapie salvavita per un giovane padre All’Ospedale della Valle d’Itria di Martina Franca, nella SSD di Nefrologia…
Leggi di più » -
Regione
Cura delle malattie rare nel Mezzogiorno: la Puglia guida il modello
La cura delle malattie rare nel Mezzogiorno compie un passo avanti decisivo. Nella sede del Consiglio regionale, si è tenuto…
Leggi di più » -
Evidenza Taranto
Amiloidosi Cardiaca: Il Coraggio della Diagnosi Precoce Parte da Martina Franca
Illustrazione scientifica digitale di un cuore umano affetto da amiloidosi cardiaca, con fibrille amiloidi, DNA, tracciato ECG e silhouette anatomica…
Leggi di più » -
Cronaca Taranto
Martina Franca in lutto per il piccolo Alfredo
Il bambino di cinque anni si è spento lasciando un vuoto nella scuola e nella comunità Martina Franca, 26 febbraio…
Leggi di più » -
Evidenza Foggia
Al D’Avanzo la giornata mondiale delle malattie rare
Il 29 Febbraio 2024 torna la giornata mondiale dedicata alle malattie rare. Oggi, tutte le malattie rare colpiscono oltre 300milioni…
Leggi di più » -
Salute e benessere
Asl Ta – Giornata malattie rare
Asl Ta – Giornata malattie rare Taranto, 28 febbraio 2023 – Malattie rare: un incontro per raccontare le attività e…
Leggi di più »












