Scoperta ad Altamura una possibile cura per una rara patologia della retina

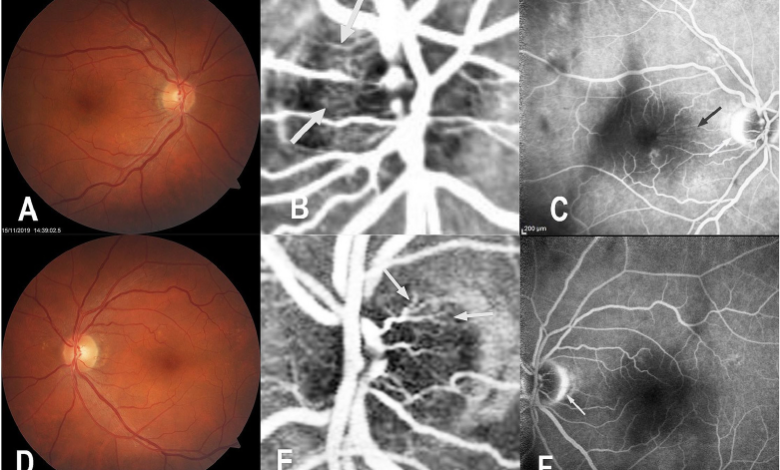
Un’importante scoperta arriva dall’unità operativa di Oculistica di Altamura, dove un team di specialisti ha individuato nuove cause e prospettive terapeutiche per la Peripapillary Pachychoroid Syndrome (PPS), una rara malattia della retina. Lo studio, pubblicato sull’American Journal of Ophthalmology Case Reports, è firmato dal dr. Giuseppe Donvito e dal dr. Vito Primavera, direttore del reparto.

Questa patologia, identificata nel 2018 dall’Università di Zurigo, è causata da un deflusso anomalo del sangue venoso nella zona del nervo ottico. Secondo la ricerca, tale condizione provoca un aumento della pressione venosa che porta alla diffusione di fluidi nella retina e nel nervo ottico, compromettendo la vista.I medici di Altamura hanno individuato nuovi segnali clinici e suggerito l’importanza di un trattamento tempestivo per evitare danni irreversibili. Grazie a tecnologie avanzate, il reparto ha affinato la diagnosi e sperimentato l’efficacia delle iniezioni intravitreali, che si sono rivelate in grado di rallentare la progressione della malattia.
Questa scoperta rappresenta un significativo passo avanti nella cura delle patologie rare della retina, con potenziali benefici per molti pazienti. L’ipotesi formulata dai ricercatori pugliesi, se confermata dalla comunità scientifica, potrebbe migliorare la comprensione della circolazione venosa nell’area del nervo ottico, aprendo nuove strade per la ricerca e la terapia oculistica.

PugliaPress
Quotidiano cartaceo e online dal 7 dicembre del 2000
redazione@pugliapress.it
direttore@pugliapress.it























